Cara Mengatasi Gigi Berlubang Pada Anak Usia 4 Tahun
Larutkan pada kapas dan letakkan kapas di tempat gigi berlubang. Vitamin sangat berperan penting dalam penyerapan mineral yang baik untuk kesehatan seperti kalsium dan fosfat yang didapat dari asupan makanan sehari-hari.

Cara Alami Mengobati Sakit Gigi Anak Di Rumah Minim Efek Samping
Pencegahan gigi berlubang dapat dilakukan sedini mungkin seperti mengajarkan anak menyikat gigi secara rutin dengan cara yang benar.

Cara mengatasi gigi berlubang pada anak usia 4 tahun. Pada umumnya gigi susu mulai tumbuh saat bayi berusia kurang lebih 6 bulan. Bakteri pada gigi yang menyebabkan gigi berlubang itu tak mengenal usia korbannya. Mengobati sakit gigi pada anak dengan bawang putih.
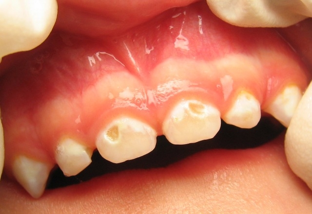
Jika baru muncul bercak kekuningankecoklatan di gigi maka menyikat gigi secara teratur setidaknya dua kali sehari menggunakan pasta gigi ber-fluoride adalah solusi terbaik. Penyebab lainnya yang dapat mengakibatkan gigi berlubang adalah anak terlalu banyak dan terlalu sering mengkonsumsi makanan atau minuman yang manis. Admin dari blog Tentang Tahun 2019 juga mengumpulkan gambar-gambar lainnya terkait gigi berlubang pada anak usia 4 tahun dibawah ini.
Obat gusi bengkak karena tumbuh gigi. Membersihkan gigi dengan benang gigi setidaknya satu kali sehari. Terlalu banyak mengkonsumsi makanan manis.
Bawang putih mempunyai kandungan saripati yang dapat meredakan sakit gigi. Menyikat gigi dua kali sehari dengan pasta gigi yang mengandung fluoride. Sedangkan pasta gigi non fluoride bisa dikenalkan pada anak usia 2 tahun lebih berikan hanya selapis tipis biji beras pada bulu sikat gigi.
Sikat gigi ber-fluoride dapat digunakan pada anak usia 3 tahun. Mama tidak perlu khawatir karena gigi berlubang dapat dicegah dengan berbagai kebiasaan berikut ini. Sudah terbukti bahwa minyak cengkeh secara ampuh bisa menghilangkan rasa sakit gigi pada anak.
Obat Sakit Gigi Alami Untuk Anak Tradisional Berikut yang dapat kami bagikan terkait cara mengatasi sakit gigi pada anak usia 4 tahun. Admin dari blog Tentang Tahun 2019 juga mengumpulkan gambar-gambar lainnya terkait cara mengatasi sakit gigi pada anak usia 4 tahun. Jangan Dibiarkan Inilah 5 Tips Merawat Gigi Berlubang.
Jika terjadi pembengkakan dan nyeri berikan kompres berupa es yang dibungkus menggunakan handukkain pada area yang nyeri sebagai cara mengobati sakit gigi pada anak. Pada kunjungan pertama biasanya hanya dilakukan pengenalan terhadap dokter gigi ruangan dan alat. Mencegah dan Mengatasi Gigi Berlubang.
Untuk dijadikan obat pada sakit gigi berlubang Moms bisa melarutkan 2-3 tetes minyak cengkeh ke sendok teh minyak biji wijen. Pada kunjungan kedua barulah dapat dilakukan tindakan medis pada anak sesuai diagnosa. Gigi berlubang adalah gangguan yang umum dan dapat terjadi pada semua orang.
Bakteri penyebab gigi berlubang bisa ditularkan melalui. Anda juga dapat membawa serta mainan kesukaan anak. Tidak bisa dipungkiri cara ini adalah cara paling ampuh untuk mengatasi dan mengobati sakit gigi pada anak.
8 Cara Mengajak Anak Balita agar Tak Takut ke Dokter Gigi. Lakukan cara ini selama kurang lebih 20 menit. Jangan Anggap Sepele Berikut 5 Cara Mencegah Gigi Berlubang Pada Anak.
Beberapa hal yang dapat dilakukan untuk mencegah terjadinya gigi berlubang adalah. Selain makanan manis faktor genetik juga berperan. Minyak cengkeh berfungsi sebagai analgesik topikal dan antibakteri.
Gigi Geraham Anak Berlubang Perlukah Dicabut Gigi Susu Anak Pertumbuhan Masalah Dan Cara Perawatannya. Anda sebagai orang tua juga harus memberikan dukungan penuh terhadap anak jangan menampakkan sikap yang terlalu protektif memanjakan atau bahkan memarahi anak. Gunakan air dari jeruk nipis Kandungan vitamin C yang tinggi pada jeruk nipis emang udah tidak perlu ditanyakan lagi buat si anak yang memiliki lubang pada giginya cukup teteskan air jeruk ini pada gigi berlubang si kecil.
Selain sebagai obat sakit gigi alami cengkeh juga dapat mencegah penyebaran gigi berlubang. Selain mudah dijumpai di rumah bawang putih ternyata dapat mengobati sakit gigi pada anak. Oleskan minyak cengkeh dengan menggunakan kapas secara lembut pada area gigi yang nyeri.
Namun anak-anak memang akan lebih berisiko memiliki gigi berlubang atau sakit gigi setelah mereka mengenal makanan-makanan manis seperti permen kue dan makanan manis lainnya. Ulangi cara ini setiap beberapa jam. Cara membersihkan gigi bayi yang kuning.
Obat sakit gigi anak yang ampuh di Apotek. Berikan pada Si Kecil pada malam hari sebelum ia tidur. TEMPOCO Jakarta - Gigi berlubang bisa terjadi pada orang dewasa atau anak-anak.
Selain menyukai makanan manis anak-anak. Pencegahan Gigi berlubang. Obat Sakit Gigi untuk Anak Usia 3 Tahun 4 Tahun 5 Tahun 6 Tahun 7 Tahun Jika anak usia 1 tahun itu masih jarang mengalami sakit gigi sebab bayinya juga belum memiliki gigi kecualai gigi susu.
Kalau Mama atau Papa memiliki gigi dengan email yang lebih lembut sehingga lebih mudah mengalami gigi berlubang bisa jadi itu akan menurun pada anak. Pada dasarnya cara mengatasi gigi berlubang pada anak tergantung usia dan tingkat keparahannya. Vitamin penumbuh gigi anak.
Untuk mencegah gigi berlubang Mama perlu mencukupi kebutuhan vitamin D dan kalsium pada anak. Vitamin D bisa didapatkan dari asupan seperti susu dan produk olahannya serta sinar matahari. Pasta gigi berfluoride baru boleh diberikan dengan syarat di atas dapat berkumur kurang lebih usia 3-4 tahun berikan pasta gigi seukuran biji jagung agak ditekankan ke sela-sela bulu sikat.

3 Kebiasaan Orangtua Yang Tularkan Gigi Berlubang Pada Anak Halaman All Kompas Com

Obat Sakit Gigi Untuk Anak Yang Sebaiknya Orang Tua Berikan Alodokter

Inilah 5 Daftar Obat Sakit Gigi Anak Balita Popmama Com

Anak Sakit Gigi Dan Rewel Ini Cara Mengatasinya

Hindari 5 Faktor Yang Bikin Gigi Anak Jadi Hitam

Bahaya Di Balik Gigi Berlubang Pada Anak Alodokter
/data/photo/2013/11/19/0936399karies780x390.jpg)
Gigi Atas Anak Tinggal Sedikit Akibat Karies Bolehkah Dicabut Halaman All Kompas Com

Gigi Geraham Anak Berlubang Perlukah Dicabut
Obat Sakit Gigi Anak Dan Dewasa Obat Tetes Aman Untuk Anak 6 7 8 9 Tahun Shopee Indonesia

9 Obat Sakit Gigi Anak Untuk Meredakan Nyerinya Salah Satunya Dengan Paracetamol Orami

Obat Sakit Gigi Berlubang Untuk Anak 3 4 5 Tahun Propolis Sm Lazada Indonesia

Duh Survei Ungkap Masih Banyak Anak Indonesia Yang Giginya Bolong

3 Cara Mencegah Gigi Berlubang Pada Anak Hello Sehat

6 Pilihan Obat Sakit Gigi Anak Yang Aman Digunakan
Gigi Berlubang Pada Anak Bisa Berbahaya Ketahui 9 Cara Ini Untuk Mencegahnya Semua Halaman Grid Health

9 Obat Sakit Gigi Anak Untuk Meredakan Nyerinya Salah Satunya Dengan Paracetamol Orami

Gigi Susu Anak Berlubang Apa Akibatnya Kompasiana Com

Gigi Susu Berlubang Pada Anak Ini Risikonya Bila Tak Segera Ditambal Theasianparent Indonesia

Post a Comment for "Cara Mengatasi Gigi Berlubang Pada Anak Usia 4 Tahun"